결핵 검사는 조기 발견과 치료가 중요한 질병으로, 증상이 나타나기 전 예방 및 관리를 통해 건강을 지키는데 필수적입니다. 본 포스트에서는 결핵 검사 필요성, 방법 및 주의사항을 소개합니다.
결핵 검사 필요성
결핵은 폐를 주로 침범하는 전염병으로, 감염된 경우 방치하면 심각한 결과를 초래할 수 있습니다. 특히 최근 몇 년 간 결핵 환자가 증가하고 있어, 감염 예방 및 조기 발견이 그 어느 때보다 중요해졌습니다. 결핵 검사는 이러한 위험요소를 사전에 차단하는 가장 효과적인 방법입니다. 자각 증상이 없더라도 정기적으로 검사를 받는 것이 좋습니다.

결핵은 기침이나 sneezing 시 분비되는 비말을 통해 전파됩니다. 증상이 나타나기 전, 즉 잠복 상태에서도 감염 가능성이 있으므로 조기에 결핵 검사를 받는 것이 중요합니다. 만약 결핵이 발견된다면 빠른 치료를 통해 전파를 방지하고 본인의 건강도 지킬 수 있습니다. 예방이 최선의 치료라는 사실, 꼭 기억하시길 바랍니다.
특히 어린이나 고위험군의 경우, 심각한 합병증을 유발할 수 있으므로 결핵 검사가 더욱 필요합니다. 학교나 어린이집 등 집단생활을 하는 곳에서는 정기 검사가 의무화될 수 있습니다. 어린이집에서 결핵 검사를 요구하는 이유도 바로 이런 점 때문입니다. 일상에서 조기 검사를 통해 건강한 커뮤니티를 만들어갑시다.
한편, 결핵 검사는 저렴한 비용과 간편한 절차로 진행 가능하다는 사실이 많은 이들에게 장점으로 작용합니다. 공공 보건소에서는 저렴한 비용으로 검사를 실시하므로, 가까운 병원이나 보건소를 찾아보는 것이 좋습니다. 이제, 검사의 중요성은 알았으니, 실질적인 방법으로 넘어가 볼까요?




결핵 검사 방법
결핵 검사 방법은 크게 3가지로 나눌 수 있습니다. 첫 번째는 피부 반응 검사, 두 번째는 혈액 검사, 세 번째는 흉부 X-ray 촬영입니다. 일반적으로 보건소에서 시행하는 피부 반응 검사는 간편하면서도 효과적입니다. 해당 검사는 48~72시간 후 판독을 통해 결과가 나옵니다. 이는 결핵 검사 확인서 발급이 용이하다는 장점이 있습니다.
두 번째 방법인 혈액 검사는 더 정교한 결과를 제공합니다. 주로 'QuantiFERON' 등과 같은 혈액 검사를 통해 결핵 감염 여부를 확인할 수 있습니다. 검사 결과는 보통 24시간 내에 나와서 빠른 판단이 가능합니다. 이 역시 결핵 검사 확인서 인터넷 발급이 가능하여, 시간과 노력을 절약할 수 있습니다.
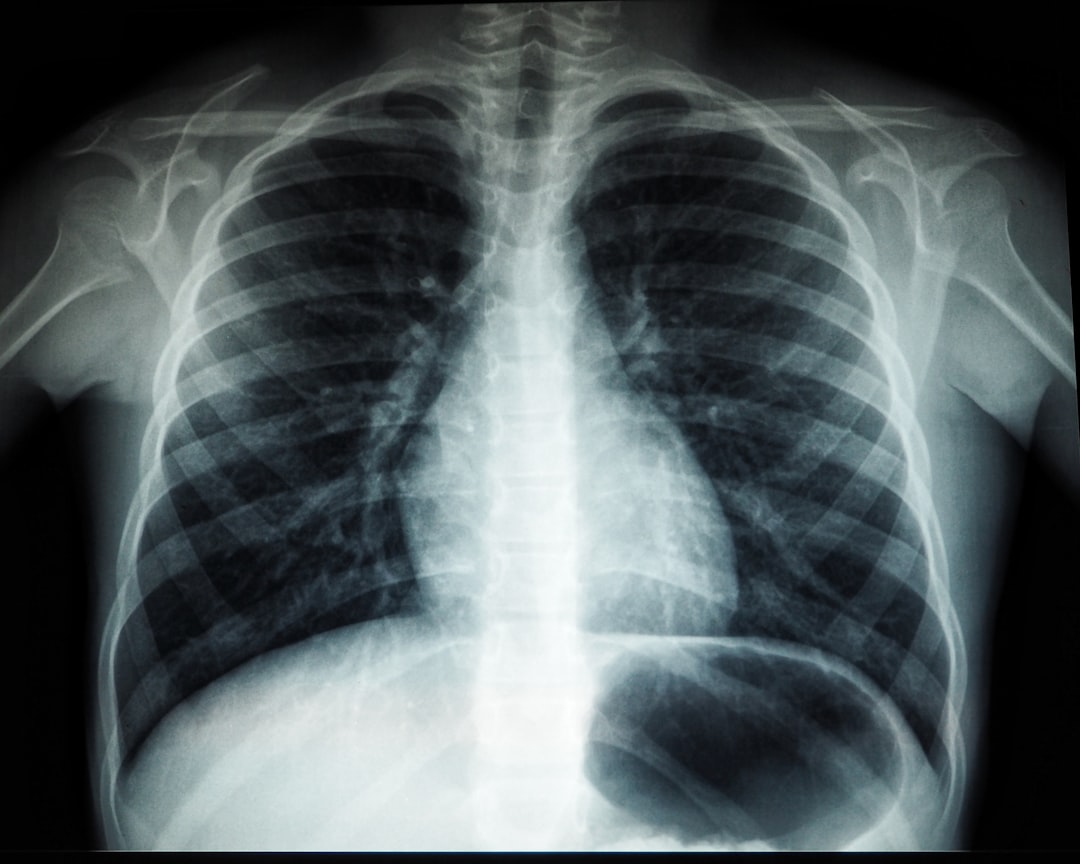
세 번째 방법인 흉부 X-ray 촬영은 폐 결핵이 의심될 때 실시합니다. X-ray를 통해 폐의 상태를 확인하고, 결핵 발병 여부를 판단할 수 있습니다. 검사 후에는 결핵 검사 결과지를 통해 양성 또는 음성 결과를 즉시 받아볼 수 있는 장점이 있습니다. 다양한 방법을 통해 정확한 검사를 받는 것이 필요합니다.
위의 방법 외에도, 결핵 검사 비용은 병원에 따라 상이하지만, 대부분의 공공기관에서는 저렴하게 제공됩니다. 가까운 보건소를 통해 검사를 진행하면 더 나은 혜택을 받을 수 있으니 참고하시기 바랍니다. 그렇다면, 결핵 검사를 받을 때 주의해야 할 사항은 무엇인지 알아볼까요?
결핵 검사 주의사항
결핵 검사를 받기 전, 몇 가지 주의할 점이 있습니다. 특히, 잠복결핵 검사의 경우, 양성이 나올 경우 치료를 받는 것이 중요합니다. 하지만 모든 결핵 감염이 치료가 반드시 필요한 것은 아닙니다. 의사와 상담하여 적절한 치료 방법을 선택하는 것이 좋습니다.



검사 후, 결과를 기다리는 동안 불안감을 느낄 수 있습니다. 이럴 때는 주변의 의견이나 정보를 과신하지 말고, 전문 의료진의 조언을 듣는 것이 더욱 도움이 됩니다. 결핵 검사 병원이나 보건소에서 검사를 받고, 결과 해석에 대해 상담받는 것이 중요합니다.
특히 기숙사 입소용 결핵 검사나 어린이집에서의 검사일 경우, 결과 제출 기한이 정해져 있으니 미리 시간을 체크하고 준비하는 것이 필요합니다. 예기치 않은 상황으로 인해 서둘러 결과를 요구받는 경우가 있을 수 있으니까요. 조급함을 피하고, 단계적으로 준비하며 여유를 가지는 것이 필요합니다.
결국, 결핵 검사를 통해 자신의 건강 상태를 확실히 아는 것이 중요합니다. 초기에 발견하여 적절한 치료를 받는 것이 최상의 방법이라는 점, 기억하세요. 그러면 이번 정보가 도움이 되셨길 바라며, 마무리할 수 있는 FAQ 섹션으로 넘어가 보겠습니다.
이런 글도 읽어보세요
인감증명서 온라인 발급 방법과 주의사항
인감증명서 온라인 발급은 이제 간편하게 처리할 수 있는 방법입니다. 이 글에서는 온라인 발급 절차와 주의사항을 자세히 설명하겠습니다.정부24 인감증명서 온라인발급 이해하기인감증명서
jhcin.co.kr
서울시니어스 고창타워, 노후생활 완벽한 선택
서울시니어스 고창타워는 편리하고 안전한 노후 생활을 제공하는 주거 공간입니다. 다양한 시설과 교육 프로그램을 통해 모두가 안전하고 행복한 노후를 누릴 수 있도록 돕고 있습니다.서울시
jhcin.co.kr
살 빨리 빼는 법, 7일만에 변화하는 법칙
이 글에서는 7일 만에 살을 빨리 빼는 법과 종아리 살빼는법에 대해 심도 있게 설명합니다. 실천할 수 있는 팁과 함께, 생생한 경험담과 감정을 나누어 읽는 이에게 동기부여를 제공합니다.살 빨
jhcin.co.kr
FAQ
결핵 검사 결과는 언제 확인할 수 있나요?
일반적으로 검사 후 48~72시간 이내에 결과가 확인됩니다. 피부반응 검사인 경우, 판독 후 결과를 받아볼 수 있습니다.
결핵 검사는 어디서 받을 수 있나요?
가까운 병원이나 보건소에서 결핵 검사를 받을 수 있습니다. 공공기관에서는 저렴한 비용으로 검사를 시행합니다.
결핵 검사는 연간 몇 번 받는 것이 좋은가요?
정기 검사는 최소 1년에 한 번 실시하는 것이 좋습니다. 특히, 고위험군의 경우 더 자주 검사를 받는 것이 바람직합니다.
| 검사 방법 | 장점 | 결과 확인 기간 | 비용 |
|---|---|---|---|
| 피부 반응 검사 | 간편함 | 48~72시간 | 저렴함 |
| 혈액 검사 | 정확성 | 24시간 | 상대적으로 비쌈 |
| X-ray 촬영 | 정확한 상태 진단 | 즉시 확인 | 상대적으로 비쌈 |